ISLAMABAD – A recent clinical study published in Cureus has revealed a significant prevalence of incidental renal (kidney) cysts among adult patients undergoing abdominal CT scans for non-urological reasons. The findings suggest that these cysts, often asymptomatic and benign, are commonly detected during routine imaging procedures and typically do not require medical intervention.
Key Findings of the Study
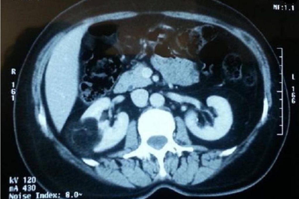
The study evaluated abdominal CT scans performed on adult patients and observed that a substantial number of cases presented with simple renal cysts — fluid-filled sacs located within the kidneys. These cysts were not associated with any urological symptoms or underlying kidney conditions.
- Incidence increased with age, with a higher number of cysts observed in older individuals.
- The majority of cysts were classified as Bosniak category I, indicating simple cysts with benign characteristics.
- No significant gender bias was reported in the occurrence of renal cysts.
Clinical Implications
The researchers concluded that most incidental renal cysts are clinically insignificant and do not require further diagnostic procedures or follow-up. However, complex or atypical cysts may warrant closer observation through advanced imaging techniques such as contrast-enhanced CT or MRI.
The study supports the current medical consensus that simple renal cysts, when detected incidentally, are non-threatening and should not cause concern unless accompanied by unusual features or symptoms.
Recommendations
Medical practitioners are advised to adopt a conservative approach toward such findings unless the cysts exhibit complex characteristics (Bosniak categories II–IV), in which case further imaging or referral to a specialist may be necessary.
The study highlights the importance of accurate classification and patient counseling to avoid unnecessary anxiety or procedures, particularly in routine imaging evaluations.
This story has been reported by PakTribune. All rights reserved.